뇌경색은 뇌혈관이 막히거나 찢어져서 뇌조직이 손상되는 질병으로, 조기 증상을 인지하는 것이 매우 중요합니다. 초기 증상에 대한 인식은 조기 치료의 기회를 높이며, 후유증과 사망 위험을 줄이는 데 도움을 줍니다.



본 글에서는 뇌경색의 초기 증상 네 가지에 대해 자세히 알아보고, 그러한 증상을 발견했을 때의 대응 방법과 중요성을 설명하겠습니다.
뇌경색의 이해
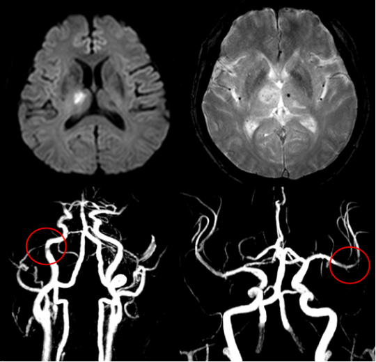
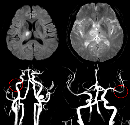
먼저 뇌경색이 무엇인지에 대해 쉽게 설명드리겠습니다. 뇌경색은 뇌로 가는 혈류가 차단되어 발생하는 질병으로, 일반적으로 뇌졸중이라고도 알려져 있습니다. 뇌혈관이 좁아지거나 막히면서 뇌가 필요한 산소와 영양분을 공급받지 못하게 되고, 이로 인해 뇌세포가 손상됩니다. 이러한 손상은 즉각적인 신체 기능 저하를 초래할 수 있으며, 심각한 경우 생명에 지장을 줄 수 있습니다.
따라서 뇌경색의 초기 증상에 대해 정확히 알고, 이를 조기에 발견하여 신속한 치료를 받을 수 있는 것이 중요합니다. 초기 증상은 때로는 쉽게 간과되기 때문에, 이를 제대로 인식하고 적절한 조치를 취하는 것이 필수적입니다. 다음으로 뇌경색의 초기 증상 네 가지를 살펴보겠습니다.
첫 번째 증상: 갑작스러운 한쪽 팔이나 다리의 힘 빠짐
첫 번째 초기 증상으로는 갑작스럽게 한쪽 팔이나 다리의 힘이 빠지는 것입니다. 예를 들어, 오른쪽 팔이나 다리가 힘이 없어지거나, 무감각해지는 느낌을 경험할 수 있습니다. 이러한 증상은 대체로 정상적으로 운동하던 중 갑자기 나타나게 되며, 이 경우 신속하게 병원을 방문하여 진단을 받는 것이 중요합니다.
이런 힘 빠짐은 뇌의 특정 영역에서 혈류가 차단되면서 발생하는 경우가 많습니다. 따라서 이러한 증상을 느꼈을 때에는 단순히 피로감이나 긴장감으로 치부하지 말고, 즉각적인 조치를 취해야 합니다. 시간이 흐를수록 뇌 손상이 진행될 수 있음을 명심하시기 바랍니다.
두 번째 증상: 언어 장애
두 번째 초기 증상으로는 언어 장애가 있습니다. 대화 중에 단어를 찾지 못하거나, 발음이 어눌해지는 경우 여러분은 반드시 주의를 기울여야 합니다. 이러한 증상은 특히 자신의 의사를 잘 표현하지 못하고, 상대방의 말도 잘 이해하지 못할 경우 더욱 심각합니다.
언어 장애는 뇌의 언어를 담당하는 영역에 혈액 공급이 차단되면서 발생하는 증상이며, 이러한 징후가 나타날 때는 반드시 가까운 사람에게 도움을 요청하거나 병원에 가는 것이 중요합니다. 조기 발견이 치료의 성공률을 높이기 때문입니다.
세 번째 증상: 시각 장애
세 번째 초기 증상으로는 시각 장애가 있습니다. 한쪽 눈이 잘 보이지 않거나 시야가 흐려지는 경우가 해당됩니다. 예를 들어, 물체가 왜곡되거나 두 개로 보이는 경우가 있으며, 이 경우에도 마찬가지로 즉각적인 조치를 취하는 것이 중요합니다.
시각 장애는 뇌의 특정 영역에서 혈액 공급이 중단됨으로써 발생하며, 때로는 심각한 뇌경색의 징후일 수 있습니다. 이러한 변화를 느꼈을 때에는 병원을 찾는 것이 중요하면서도 필수적입니다. 무엇보다 시간을 아끼고 최소한의 피해로 조기 치료를 받는 것이 필요합니다.
네 번째 증상: 균형 감각 상실
마지막으로 네 번째 초기 증상으로는 균형 감각 상실이 있습니다. 이는 보행이 어렵게 느껴지거나, 넘어질 것 같은 어지러움증을 느끼는 것을 포함합니다. 특히 갑작스러운 어지럼증이나 비틀거림을 느끼게 되면, 이는 뇌경색의 초기 신호일 수 있습니다.
균형 감각 상실은 뇌의 운동 조절 능력에 문제가 발생했을 때 나타날 수 있으며, 이것 또한 즉각적인 의료 조치를 요구합니다. 어지러움증이 지속되거나 다른 증상과 복합적으로 나타나는 경우, 병원에 가셔야 합니다. 조기 처리만이 이러한 증상의 악화를 막을 수 있습니다.
초기 증상을 발견했을 때의 행동 요령
초기 증상을 인지한 후에는 빠르게 대응하는 것이 매우 중요합니다. 가정에서 쉽게 사용할 수 있는 뇌경색 인지 검사인 'FAST' 방법을 활용해 보시기 바랍니다. 'FAST'는 Face, Arms, Speech, Time의 약자로, 이 네 가지를 기준으로 증상을 확인할 수 있습니다.
먼저, 'Face'는 얼굴을 보며 비대칭적인 표정을 체크합니다. 즉, 한쪽 얼굴이 처지거나 비대칭인 경우가 해당됩니다. 두 번째로 'Arms'는 양팔을 들어 보게 하여 양팔의 힘 비대칭을 체크합니다. 그런 다음 'Speech'는 간단한 문장을 따라 하는 것을 통해 언어 장애를 확인합니다. 마지막으로 'Time'은 이러한 증상들이 나타날 경우 즉시 응급 치료를 요청해야 한다는 것을 의미합니다.






조기 발견의 중요성
조기 발견은 뇌경색의 치료에 있어 결정적인 요소입니다. 뇌는 매우 민감한 기관으로, 산소와 영양분의 공급이 중단되면 단 몇 분 만에 심각한 손상을 입을 수 있습니다. 이로 인해 시간은 생명을 구하는 중요한 변수입니다.
엽산과 같은 영양소가 결핍되거나 고혈압 등의 생활습관병이 있을 경우에도 뇌경색 발병 확률이 높아집니다. 따라서 평소에 자신의 건강 상태를 관리하고, 증상을 정확히 인지하려는 노력이 필요합니다. 위에서 언급한 초기 증상을 자주 점검하여 자신의 건강을 사전에 대응할 수 있는 자세가 필요합니다.






예방 방법
뇌경색을 예방하기 위해서는 건강한 생활습관이 필수입니다. 규칙적인 운동과 올바른 식단, 적정 체중 유지 등이 중요합니다. 또한, 스트레스 관리와 충분한 수면은 뇌 건강에 큰 영향을 미칩니다. 담배와 음주는 뇌에 악영향을 미치므로 최대한 피하는 것이 좋습니다.
고혈압이나 당뇨와 같은 만성 질환이 있는 경우에는 정기적인 건강 검진과 치료를 통해 이러한 병증을 관리하는 것이 중요합니다. 정기적으로 의사와 상담하고 생활습관을 조정하는 것이 뇌 경색 예방에 큰 도움이 됩니다.






결론
뇌경색은 예기치 않게 발생할 수 있는 심각한 질병이지만, 초기 증상을 알고 조기 발견하는 것만으로도 큰 차이를 만들 수 있습니다. 본 글에서 언급한 초기 증상 네 가지를 반드시 기억하시고, 이러한 증상이 나타날 경우 즉각적인 행동을 취해 주시기 바랍니다. 건강은 무엇보다 소중합니다. 자신의 몸을 소중히 여기고, 조기 발견을 통해 생명을 지키는 데 기여하시기를 바랍니다.